• twitter
  • facebook
Scienze
Comincia da qui!
Non sei ancora registrato?
CREA IL TUO CANALE
Entra in Youmedia
email
password

Non sei registrato? Registrati qui!   Password dimenticata?
Crea il tuo account
Con il tuo canale YouMedia potrai
caricare e gestire i tuoi contributi
email
password
ripeti password

Già registrato? Effettua il login! Password dimenticata?
Recupero password
Inserisci l'email con cui ti sei registrato, ti verranno inviate le istruzioni per il recupero password.
email

Non sei registrato? Registrati qui!

Categorie
  • tutto
  • Politica
  • Cronaca
  • Spettacolo
  • Sport
  • Tecnologia
  • Motori
  • Viaggi
  • Scienze
  • Design
  • Donna
  • Rugby
  • Musica
  • Cucina
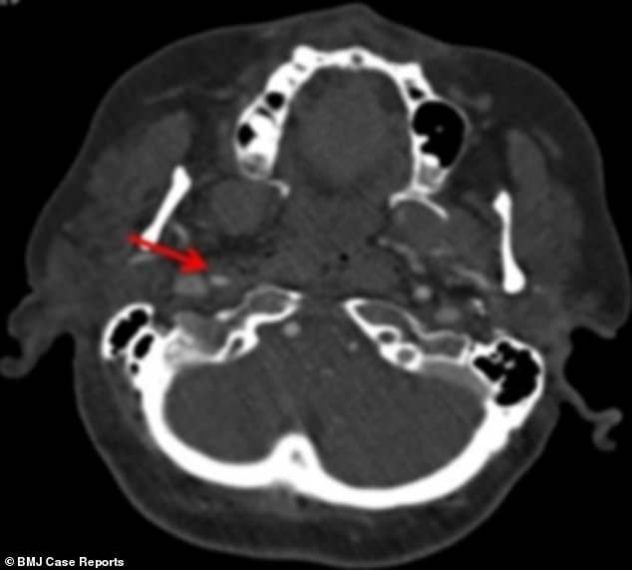
La scansione cerebrale mostra l'arteria ispessita e quindi indebolita
La scansione cerebrale mostra l'arteria ispessita e quindi indebolita
  • La scansione cerebrale mostra l'arteria ispessita e quindi indebolita
  • La lunghezza dell'arteria che si è rotta durante l'incidente
  • La scansione cerebrale mostra l'arteria guarita
  • immagine
  • 2 / 4

Travolta da un'onda, donna avverte mal di testa: la radiografia mostra i gravi danni subiti

pubblicato il 5 ottobre 2018 alle ore 13:51
Dopo essere stata travolta da un'onda in vacanza, per una turista irlandese sono iniziati seri problemi. La donna, 60 anni, ha iniziato a soffrire di mal di testa e dolori al collo, oltre che fastidi alle palpebre e alle pupille. Le scansioni cerebrali hanno mostrato che l'urto dell'onda aveva provocato la rottura di vasi sanguigni e di un'arteria nel collo che porta sangue al cervello. I medici, sbalorditi, hanno pubblicato il racconto in una rivista medica e dichiarando che si trattava del primo caso di questo genere. Alla paziente è stata diagnosticata la rara condizione della sindrome di Horner, secondo il racconto pubblicato su BMJ Case Reports. Una condizione causata da danni ai nervi del viso e risultati nella bulbo oculare che affonda nella sua cavità. All'ospedale della Galway University, i medici hanno scoperto che gli occhi della paziente si muovevano involontariamente, ma era comunque in buona salute. Dopo aver assunto inizialmente l'aspirina per evitare l'ictus, la paziente è pienamente guarita sei mesi dopo.
 
mostra altro

immagine profilo WorldNews 11.615 video • 3.385 foto
117.657.816 visualizzazioni


altro di WorldNews

  • Minneapolis, afroamericano ucciso in casa dalla polizia: il video ripreso dalle body-cam
    0:32
    Minneapolis, afroamericano ucciso in casa dalla polizia: il video ripreso dalle body-cam
    15831 VISUALIZZAZIONI
    WorldNews
  • Tempesta di neve in Pakistan: persone muoiono intrappolate nelle auto
    1:20
    Tempesta di neve in Pakistan: persone muoiono intrappolate nelle auto
    3758 VISUALIZZAZIONI
    WorldNews
  • Kate Middleton suona il piano per Tom Walker nel concerto Together at Christmas
    0:34
    Kate Middleton suona il piano per Tom Walker nel concerto Together at Christmas
    1617 VISUALIZZAZIONI
    WorldNews
  • Joe Biden insultato in diretta durante la telefonata di Natale
    0:15
    Joe Biden insultato in diretta durante la telefonata di Natale
    532 VISUALIZZAZIONI
    WorldNews
  • Decine di tornado negli Usa, danni e devastazione
    1:22
    Decine di tornado negli Usa, danni e devastazione
    1688 VISUALIZZAZIONI
    WorldNews
  • Texas, tragedia durante un festival musicale: almeno 8 morti
    0:23
    Texas, tragedia durante un festival musicale: almeno 8 morti
    6977 VISUALIZZAZIONI
    WorldNews
  • Alluvioni in Cina: passeggeri intrappolati nella metropolitana
    0:33
    Alluvioni in Cina: passeggeri intrappolati nella metropolitana
    1007 VISUALIZZAZIONI
    WorldNews
  • Terribile incendio nel Golfo del Messico: fiamme in mare
    0:12
    Terribile incendio nel Golfo del Messico: fiamme in mare
    22446 VISUALIZZAZIONI
    WorldNews
  • Bimbo entra in una cartolibreria e chiede aiuto per studiare, il proprietario gli regala tutto
    1:34
    Bimbo entra in una cartolibreria e chiede aiuto per studiare, il proprietario gli regala tutto
    6268 VISUALIZZAZIONI
    WorldNews
  • Esplosione violenta distrugge tre case, muore un bambino: sospetta fuga di gas
    2 foto
    Esplosione violenta distrugge tre case, muore un bambino: sospetta fuga di gas
    1460 VISUALIZZAZIONI
    WorldNews
  • Colombia, camion travolge manifestanti a Cali
    0:09
    Colombia, camion travolge manifestanti a Cali
    585 VISUALIZZAZIONI
    WorldNews
  • Nuovo bombardamento a Gaza: razzi israeliani colpiscono palazzo residenziale di 15 piani
    0:42
    Nuovo bombardamento a Gaza: razzi israeliani colpiscono palazzo residenziale di 15 piani
    5340 VISUALIZZAZIONI
    WorldNews
  • Ancora decine di razzi dalla Striscia di Gaza
    0:38
    Ancora decine di razzi dalla Striscia di Gaza
    1758 VISUALIZZAZIONI
    WorldNews
  • Strage a scuola, studenti si gettano dalle finestre al terzo piano per scappare: due muoiono
    1:03
    Strage a scuola, studenti si gettano dalle finestre al terzo piano per scappare: due muoiono
    3438 VISUALIZZAZIONI
    WorldNews
  • Le immagini della body cam rilasciate dai poliziotti di Columbus
    3:54
    Le immagini della body cam rilasciate dai poliziotti di Columbus
    1508 VISUALIZZAZIONI
    WorldNews
  • Le proteste dopo la morte della giovane Makiyah Bryant in Ohio
    0:33
    Le proteste dopo la morte della giovane Makiyah Bryant in Ohio
    5342 VISUALIZZAZIONI
    WorldNews
11.565
  1. Il sito dove esplorare gratis le mappe di qualsiasi videogioco: è un museo del digitale
    Il sito dove esplorare gratis le mappe di qualsiasi videogioco: è un museo del digitale Noclip.website trasforma i livelli dei videogiochi in musei virtuali. Una gita tra poligoni e ricordi dell'era PlayStation, Nintendo e PC, senza punteggi né game over.
  2. Su Phica.ue è comparsa la scritta "Il sito è stato chiuso": cosa sta succedendo
    Su Phica.ue è comparsa la scritta "Il sito è stato chiuso": cosa sta succedendo Nelle ultime ore dal sito di Phica.eu il messaggio di addio è scomparso e al suo posto appare solo questa frase: "Il sito è stato chiuso!": cosa sta succedendo.
  3. Luca, l'influencer che ha capito come viaggiare nel tempo: “Venite, oggi sono in Egitto con Mosè”
    Luca, l'influencer che ha capito come viaggiare nel tempo: “Venite, oggi sono in Egitto con Mosè” I social sono pieni di video con creator che dicono di aver capito come viaggiare nel tempo. Creano piccole clip in cui attraversano tutti gli eventi storici. Non è un fenomeno solo italiano. Se non vi interessa c'è un modo per non vedere più i loro contenuti.
  4. “Hanno preso una mia foto e mi hanno messa in bikini, è come essere violata davanti a tutti”
    “Hanno preso una mia foto e mi hanno messa in bikini, è come essere violata davanti a tutti” Foto in costune o in pose intime: basta un prompt per trasformare immagini di persone reali in deepfake, mentre le vittime restano senza tutela.
  5. Nuovo caso al Louvre, due ragazzi hanno appeso il loro ritratto accanto alla Gioconda: è un format
    Nuovo caso al Louvre, due ragazzi hanno appeso il loro ritratto accanto alla Gioconda: è un format Neal e Senne sono due creator. Nei giorni scorsi hanno pubblicato sui social un video in cui appendono un quadro nella sessa stanza della Gioconda al Museo del Louvre a Parigi. Il quadro era un loro ritratto.
  6. Ora su Grok puoi ancora spogliare le immagini, ma solo a pagamento: la decisione di Musk
    Ora su Grok puoi ancora spogliare le immagini, ma solo a pagamento: la decisione di Musk Dopo le polemiche e le pressioni dei governi, le funzioni di editing di Grok, l'IA di X, diventano a pagamento per frenare gli abusi e i deepfake sessalizzanti. Ora per modificare le immagini servirà fornire alla piattaforma i propri dati.
  7. Cristina D’Avena sui nudi fatti con l’IA: “Incredula. Ridotta a un oggetto”. E spunta un nuovo sito
    Cristina D’Avena sui nudi fatti con l’IA: “Incredula. Ridotta a un oggetto”. E spunta un nuovo sito Negli ultimi mesi in Italia si è aperto un dibattito sugli spazi in cui vengono condivise senza consenso immagini delle donne. È una consapevolezza maturata dal caso del gruppo Facebook Mia Moglie e del forum Phica. Nell'ultima settimana Francesca Barra ha denunciato una piattaforma basata sull'intelligenza artificiale. Ora la Procura di Roma indaga su un nuovo sito. Qui si parla di materiale molto vecchio, per la maggior parte sembrano dei fotomontaggi.
  8. Non è intelligenza artificiale: "La Caduta di Icaro” è una magnifica foto astronomica reale
    Non è intelligenza artificiale: "La Caduta di Icaro” è una magnifica foto astronomica reale L'astrofotografo professionista Andrew McCarthy, il paracadutista Gabriel C. Brown e il pilota Jim Hamberlin hanno unito le loro passioni per dar vita a un'opera d'arte memorabile, "La Caduta di Icaro", in cui la silhouette di un uomo si staglia innanzi al turbolento strato di idrogeno del Sole tra le macchie solari. Lo scatto è stato ottenuto dopo una lunghissima preparazione e vari tentativi per trovare l'allineamento perfetto.
  9. I conti di Michele Molteni: “In un anno ho guadagnato oltre un milione di euro. Tutto con 29 video”
    I conti di Michele Molteni: “In un anno ho guadagnato oltre un milione di euro. Tutto con 29 video” Michele Molteni, classe 1989, è uno degli youtuber più seguiti in Italia. Si occupa soprattutto di crafting: costruisce bunker, case di legno o garage futuristici e racconta tutto sul suo canale YouTube.
  10. Andrea, 17 anni, vince premio fotografico mondiale con uno splendido scatto dalla duplice anima
    Andrea, 17 anni, vince premio fotografico mondiale con uno splendido scatto dalla duplice anima Con la fotografia "After the destruction" il giovanissimo Andrea Dominizi di Velletri vinto lo Young Wildlife Photographer of the Year 2025, tra i più importanti concorsi fotografici al mondo. Nel suo scatto viene esaltata la contrapposizione tra la distruzione perpetrata dall'uomo e la resilienza di un piccolo, bellissimo insetto.
logo fanpage
SEGNALAZIONI APP IPHONE APP ANDROID

Fanpage.it è una testata giornalistica registrata presso il Tribunale di Napoli n. 57 del 26/07/2011.
Ove non espressamente indicato, tutti i diritti di sfruttamento ed utilizzazione economica del materiale fotografico presente sul sito Fanpage.it sono da intendersi di proprietà dei fornitori, LaPresse e Getty Images.
Privacy Policy Cookie Policy Modifica Consenso REDAZIONE
CIAOPEOPLE MEDIA GROUP
)